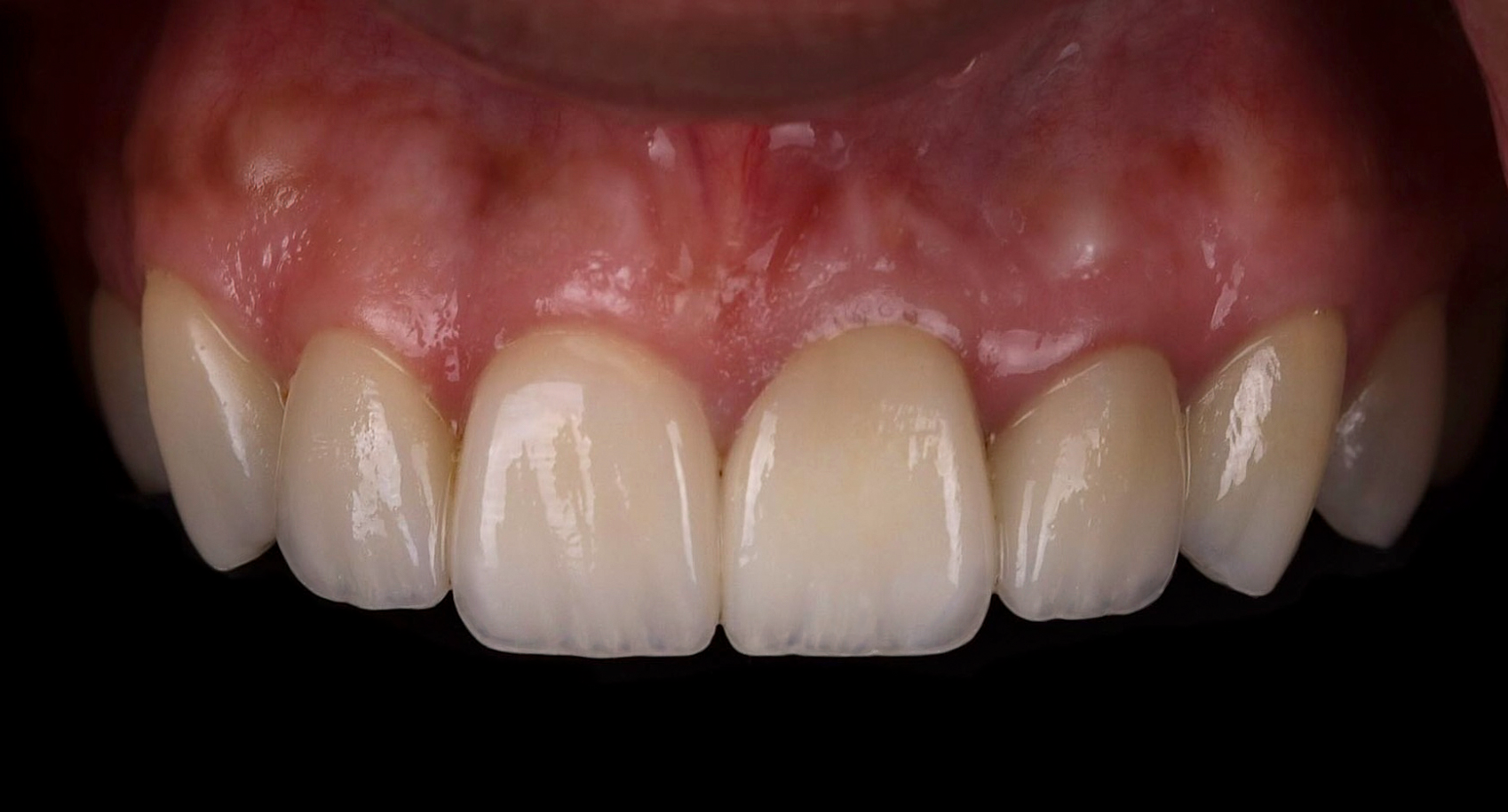
JAWS dental lab
About JAWS dental lab
We are a Portuguese-based dental laboratory with over 30 years of experience in advanced oral rehabilitation and high-end dental ceramics.
Founded and led by a master dental technician with international experience across three continents, JAWS Dental Lab combines precision, aesthetics and reliability in every case.
We work closely with demanding clinics that value technical excellence, communication and predictable results. Our clients are international, and we provide efficient logistics to receive and deliver cases with confidence.
To us, every restoration is more than a product. It is a responsibility toward the patient and a partnership with the clinician.


















